Soins des gencives

Les maladies parodontales

Une alimentation saine et variée, apportant vitamines et oligo-éléments, un brossage biquotidien complété d’un nettoyage inter-dentaire et une pratique sportive régulière préservent la santé des gencives… et la santé générale !

La gingivite

Une gingivite (inflammation superficielle de la gencive) est provoquée par une accumulation de bactéries sur les dents (la «plaque dentaire» ou le «biofilm bactérien»). Ces bactéries sont responsables de la production de tartre qui, lui-même, favorise l’accumulation des bactéries. Le cercle vicieux est lancé : plus il y a de bactéries sur la dent, plus il a y formation de tartre. Plus il y a formation de tartre, plus les bactéries s’y développent.

Le patient remarque un saignement lors du brossage, des gencives plus rouges ou gonflées, un mauvais goût récurent ou une mauvaise haleine. Le traitement de la gingivite est simple : un détartrage minutieux accompagné de l’enseignement des techniques de brossage. Techniques à appliquer scrupuleusement afin d’éviter le retour de l’inflammation gingivale… et de multiples séances de détartrage !

«Brosse à dents, fil dentaire ou brossettes interdentaires sont vos meilleurs amis!»

Préventivement, afin d’éviter la récidive, une séance de détartrage est conseillée une à deux fois par an.

La maladie parodontale

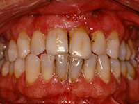
Une gingivite chronique non traitée peut aboutir à une infection chronique ou aiguë de la gencive et des mâchoires : la maladie parodontale. Les maladies parodontales sont des maladies inflammatoires infectant les mâchoires. Il en existe plusieurs sortes, modulées par l’état de santé général du patient, la prise de médicaments, de drogues, la tabagie,… Elles sont causées par des bactéries pathogènes très agressives qui se développent sur le tartre qui s’est accumulé sur les dents, entre les dents et souvent en-dessous de la gencive. Les bactéries pathogènes dégradent les tissus de soutien des dents : gencive, ligament alvéolo-dentaire, os alvéolaire. Une poche parodontale se forme autour de la dent, elle se remplit de bactéries très agressives et des toxines issues de leur métabolisme, la gencive est ulcérée et ces bactéries finissent par pénétrer dans l’organisme ! Elles peuvent alors provoquer des maladies à distance ou compliquer d’autres pathologies : un diabète, des pathologies cardiaques, vasculaires, pulmonaires, une polyarthrite,…

Le traitement d’une maladie parodontale consiste en un surfaçage minutieux sous anesthésie locale. Il s’agit d’un nettoyage des poches, ou détartrage approfondi, pour éliminer les bactéries et le tartre qui se sont accumulés sur les dents, dans les poches parodontales. La technique de brossage enseignée devra être appliqués à la lettre si l’on veut observer une stabilisation de la maladie. Un traitement médicamenteux, des suppléments vitaminés ou nutritifs, des conseils d’hygiène de vie peuvent être donnés en accompagnement des traitements prodigués au cabinet.

Un questionnaire médical et d’éventuels examens complémentaires peuvent parfois être nécessaires afin de diagnostiquer toute maladie générale en lien avec la maladie parodontale. Un renvoi chez le médecin traitant ou le médecin spécialiste est parfois indispensable à la guérison.

Une maladie parodontale non traitée mène à la perte des dents ! Une maladie parodontale non traitée peut avoir des conséquences graves sur votre santé générale ! Ici aussi, un diagnostic et un traitement précoces sont recommandés. Après traitement, un suivi régulier et une thérapie de soutien, souvent 3 à 4 fois par an, empêcheront la récidive de la maladie.

> Si vous voulez garder de bonnes gencives, ne fumez pas ! (ni tabac, ni cannabis…)