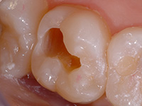
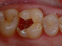
soins des caries

Pour qu’une carie se développe, il faut une accumulation de bactéries cariogènes collées sur les dents et des sucres. Ces bactéries transforment les sucres en acides. Les acides déminéralisent l’émail jusqu’à créer une cavité : la carie dentaire. Plus nous mangeons du sucre, plus nous favorisons la multiplication des bactéries productrices d’acides.

Le cercle vicieux est lancé : plus nous mangeons du sucre, plus ces bactéries se multiplient. Plus le nombre de bactéries augmente, plus la production d’acide est importante à chaque ingestion de sucre. L’excès de sucreries, les sodas, la malbouffe (trop riche en sucres … et en graisses) ont pour conséquences des caries à répétition, jusque parfois la destruction complète de la dent ! Sans compter des effets néfastes et précoces sur la santé générale (surpoids, diabète, métabolisme oxydatif, ostéoporose ?…)

La prévention de l’apparition des caries, c’est :
  • un brossage avec un dentifrice fluoré toutes les 12 heures pour éliminer les bactéries de la surface dentaire (le fluor renforce la structure de l’émail dentaire)
  • passer le fil dentaire entre toutes les dents, idéalement tous les jours après le brossage du soir (acceptable : 3 à 4 fois par semaine)
  • ne pas manger entre les 3 à 4 repas quotidiens (petit-déjeuner, déjeuner, goûter éventuel, dîner)
  • limiter les boissons sucrées et acides au maximum (sodas, boisson énergisantes,…)
  • supprimer les grignotages sucrés et acides (bonbons acidulés, chocolat, chewing gum, nicorettes, chips, saucisses et charcuteries industrielles,…)