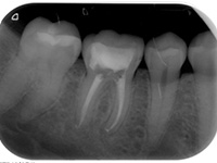
traitements endodontiques

Une carie profonde exige souvent un traitement endodontique avant la restauration de la dent, car les bactéries et leurs toxines se sont développées dans les racines.