prothèses dentaires

Une prothèse dentaire remplace des dents manquantes ou des dents qui doivent être extraites, car tellement délabrées qu’il est impossible de les restaurer. Nous distinguons la prothèse fixe ou « conjointe », inamovible, et la prothèse amovible ou « adjointe », que le patient doit enlever deux fois par jour pour son entretien. L’une comme l’autre peut être soit soutenue par une ou des dents, soit par un ou des implants dentaires. Chaque bouche est unique, aucun traitement standardisé n’existe. Une réhabilitation orale est individualisée et personnelle. Dès lors, pour les patients qui doivent remplacer des dents perdues, nous réalisons un plan de traitement de réhabilitation orale en collaboration entre le praticien et le patient, dans une relation de co-diagnostic.

Chaque cas s’étudie par un examen clinique, la prise de radiographies et d’empreintes pour réaliser des modèles en plâtre. Plusieurs séances de discussion sont parfois nécessaires afin de préciser les objectifs et de répondre au mieux à la demande et aux besoins du patient. Une fois le projet prothétique défini, une estimation des honoraires est délivrée.

« La prothèse dentaire n’est pas une fin en soi, mais un moindre mal », comme le disait un professeur de prothèse. Même si la prothèse fixe est, de loin, plus confortable à porter et finit bien souvent par se faire oublier et s’intégrer valablement dans la bouche, une prothèse reste une prothèse. Elle ne redonnera jamais plus le même confort que les dents naturelles. Il faut donc tout faire pour préserver et garder ses dents toute la vie !

PROTHESE FIXE
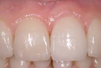
La couronne

Moyennant la préparation des dents voisines d’une ou de plusieurs dents manquantes, un pont peut être placé : les dents préparées servent de piliers du pont, la ou les dents manquantes sont solidaires de ces couronnes-piliers. Le bridge est cimenté sur les dents piliers et ne s’enlève pas. Il redonne le confort de dents fixes. Il faut cependant tailler au moins deux dents pour soutenir un bridge.

Couronne céramique
Le bridge (ou « pont »)

Moyennant la préparation des dents voisines d’une ou de plusieurs dents manquantes, un pont peut être placé : les dents préparées servent de piliers du pont, la ou les dents manquantes sont solidaires de ces couronnes-piliers. Le bridge est cimenté sur les dents piliers et ne s’enlève pas. Il redonne le confort de dents fixes. Il faut cependant tailler au moins deux dents pour soutenir un bridge.

Bridge céramique
L’inlay céramique

Un délabrement important, mais partiel, de la dent permet de maintenir des parois dentaires solides. Préparer la dent pour une couronne serait trop mutilant. Une pièce en céramique restaurant la partie dentaire manquante est alors fabriquée au laboratoire et sera collée hermétiquement dans la dent.

Inlay céramique
Le bridge collé type « Maryland »

Ce type de bridge permet de limiter la préparation à la face interne des dents et d’y coller une « ailette » métallique ou céramique, invisible, portant la dent de remplacement.

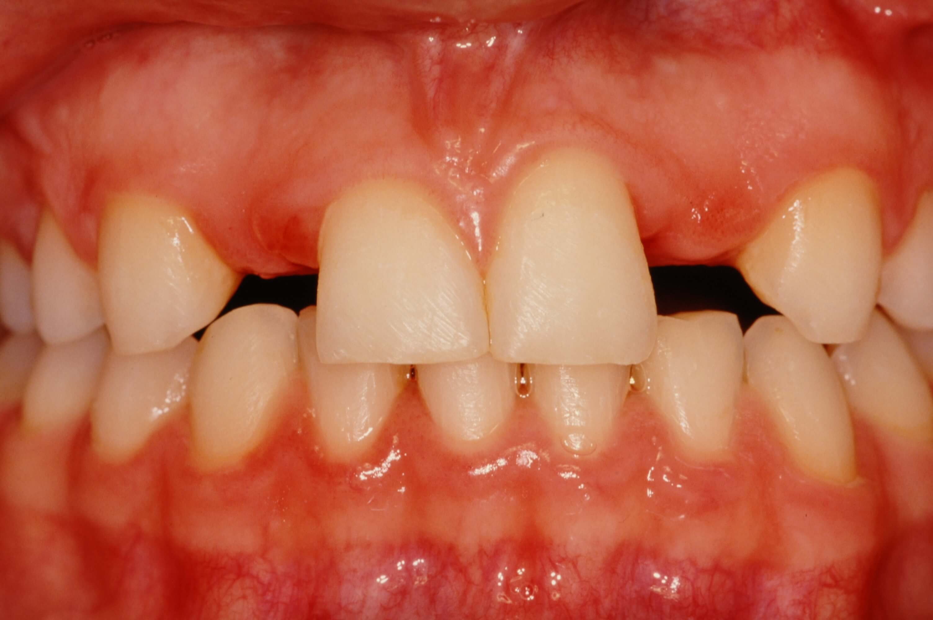
Prothèse amovible

Une prothèse amovible remplace les dents manquantes et une partie des tissus de soutien perdus. Sans élément de rétention, ces prothèses sont particulièrement instables. La plupart du temps, il faut y placer un adhésif. Afin de les stabiliser, il est parfois possible de sauver quelques dents et de les couronner pour y loger des appuis et des crochets. Une autre solution est de placer un système d’ancrage sur des implants dentaires.

Prothèse amovible complète pour patient totalement édenté
Prothèse amovible partielle temporaire pour patient partiellement édenté
Prothèse amovible partielle squelettée ( ou « squelettique ») pour patient partiellement édenté, stabilisée par un bridge (supérieur) et trois couronnes (inférieur)